The extensive list of EFP publications includes the sector-leading Journal of Clinical Periodontology, the research summary JCP Digest, the Perio Talks podcasts, and a range of articles that offer expert views on periodontal science and clinical practice.
Featured
-

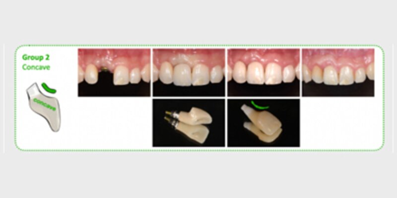
Categories:Clinical & Translational Research, JCP Digest, Article
What emergence profile is best for implant-supported crowns in the aesthetic zone?
The November issue of JCP Digest summarized a three-year clinical trial that assessed implant-supported restorations with different emergence profiles to determine whether aesthetic and clinical results deteriorate or remain stable over time.
-

Categories:Public health & Prevention, Systemic health, Article
How periodontal diseases affect women’s health at different stages of life
Periodontitis impacts women's health, especially at times of hormonal changes such as puberty, pregnancy, and the menopause. There is also an association between periodontitis and breast cancer. James Deschner and Lisa Hezel examine the issues.
-

Categories:Public health & Prevention, Podcast
Oral health throughout life: childhood and adolescence
In the first episode of season four of the Perio Talks podcast, sponsored by Dentaid, William Papaioannou and Júlia Sáez Valverde discuss the Oral Health Throughout Life campaign, focusing on childhood and adolescence.
-

Categories:JCP Digest, Article
Beyond the probe: measuring patient satisfaction in periodontal therapy
The latest issue of JCP Digest summarizes a study of elderly patients with stage III or stage IV periodontitis and their oral health-related quality of life over 10 years of supportive periodontal therapy.
-

Categories:Clinical & Translational Research, Treatment, Article
Perio Master Clinic 2026 offers insight and expertise into the perio-restorative interplay
The EFP’s Perio Master Clinic 2026, which takes place next March in Baku, Azerbaijan, will focus on the “Perio-Restorative Interplay”. Mariano Sanz, the event’s scientific chair, outlines the importance of the interdisciplinary approach.
-

Categories:Public health & Prevention, Systemic health, Article
Periodontitis: The overlooked cardiovascular risk factor
World Heart Day (29 September) reminds us of the importance of prevention in reducing the global burden of cardiovascular diseases (CVD). Francesco D’Aiuto outlines the latest research findings on the links between CVD and periodontitis.
Access the Journal of Clinical Periodontology here

Special publications
Perio classification
The current classification is based on the findings of the World Perio Workshop (2017) which updated the classification of all periodontal and peri-implant diseases and conditions. The EFP has published a series of resources to help oral-health professionals understand and implement the classification.
Clinical guidelines
The EFP has produced a set of S3-level clinical-practice guidelines to provide oral-healthcare professionals with precise therapeutic pathways based on individual patient diagnoses and recommend specific interventions to get the best possible results for patients with periodontitis and peri-implant diseases.
White papers
The EFP has commissioned two "white papers" from the Economist Intelligence Unit and Economist Impact on the socioeconomic impact of periodontitis and on addressing inequalities in oral health.
View Time to take gum disease seriously
View The burden of caries and periodontitis
Perio Focus green paper
The impact of the global burden of periodontal diseases on health, nutrition and wellbeing of mankind: a call for global action.
Responsible periodontology
The EFP is committed to a vision of responsible and sustainable periodontology. It has published a Sustainability Manifesto and a set of Sustainability Actions.
Partners Campaigns & Newsletters
The EFP, in collaboration with its partners, develops campaigns on key oral health issues. Each year, it also publishes a dedicated newsletter featuring articles on different relevant topics from both the federation and its partners.




