The extensive list of EFP publications includes the sector-leading Journal of Clinical Periodontology, the research summary JCP Digest, the Perio Talks podcasts, and a range of articles that offer expert views on periodontal science and clinical practice.
Featured
-

Categories:Systemic health, Article
How do diet and obesity affect periodontitis and the response to treatment?
Healthy nutrition can help prevent periodontitis while a poor diet and obesity can negatively impact disease and the response to treatment. James Deschner, Henrik Dommisch, and Johan Wölber consider obesity, nutrition, and periodontal disease.
-

What options are available to clinicians for crown-lengthening surgery
In a preview of his presentation at Perio Master Clinic 2026, Juan Blanco explains crown-lengthening surgery and the various options available to periodontists.
-

Categories:Public health & Prevention, Systemic health, Podcast
The interface between periodontal health and nutrition
What role do diet and obesity play in the prevention and management of periodontal disease? In the latest Perio Talks podcast, three experts explore the evidence on the links between nutrition, inflammation, and periodontal disease.
-

Categories:Classification & Guidelines, Treatment, Video
Perio Workshop 2025 experts offer insights on gingivitis and acute periodontal conditions
A video playlist features the chairs of the working groups at Perio Workshop 2025, which brought together international experts to develop a clinical practice guideline for the management of gingival diseases and acute periodontal conditions.
-

Categories:JCP Digest, Treatment, Article
Tooth loss in treated advanced periodontitis after more than 20 years of supportive care
The January issue of JCP Digest summarizes a retrospective study of long-term tooth loss and the survival rate of different types of dentures in patients receiving supportive periodontal care after treatment for stage III/IV periodontitis.
-

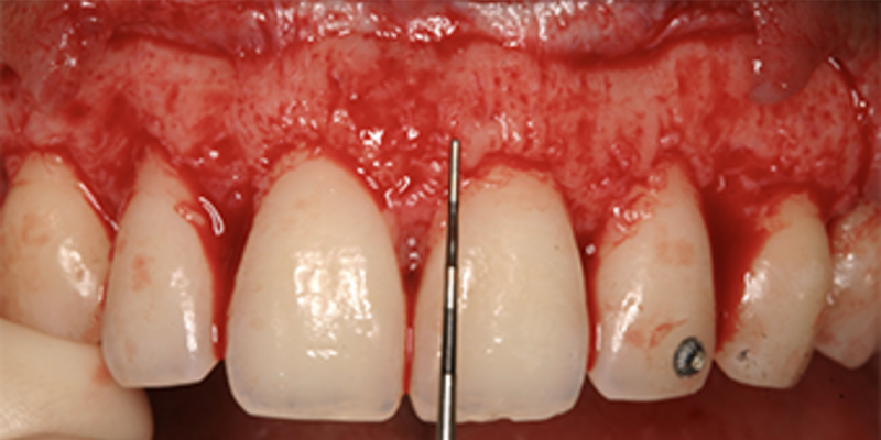
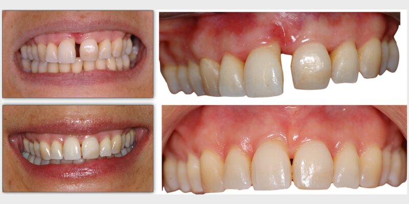
Categories:Clinical & Translational Research, Treatment, Article
How to obtain optimal aesthetic results with tooth-supported restorations to treat terminal dentition in the anterior maxilla
The treatment of terminal dentition in the anterior maxila is major challenge for clinicians who seek the best aesthetic outcomes. Alberto Fonzar describes how tooth-supported restorations can help in the treatment of stage IV periodontitis.
Access the Journal of Clinical Periodontology here

Special publications
Perio classification
The current classification is based on the findings of the World Perio Workshop (2017) which updated the classification of all periodontal and peri-implant diseases and conditions. The EFP has published a series of resources to help oral-health professionals understand and implement the classification.
Clinical guidelines
The EFP has produced a set of S3-level clinical-practice guidelines to provide oral-healthcare professionals with precise therapeutic pathways based on individual patient diagnoses and recommend specific interventions to get the best possible results for patients with periodontitis and peri-implant diseases.
White papers
The EFP has commissioned two "white papers" from the Economist Intelligence Unit and Economist Impact on the socioeconomic impact of periodontitis and on addressing inequalities in oral health.
View Time to take gum disease seriously
View The burden of caries and periodontitis
Perio Focus green paper
The impact of the global burden of periodontal diseases on health, nutrition and wellbeing of mankind: a call for global action.
Responsible periodontology
The EFP is committed to a vision of responsible and sustainable periodontology. It has published a Sustainability Manifesto and a set of Sustainability Actions.
Partners Campaigns & Newsletters
The EFP, in collaboration with its partners, develops campaigns on key oral health issues. Each year, it also publishes a dedicated newsletter featuring articles on different relevant topics from both the federation and its partners.



